牛皮癣是一种比较容易复发,而且持续时间长,很难治愈的疾病。 了解了牛皮癣的特点后,我们在日常生活中可以多注意营养,多休息,也要注意合理调理身体,平和心态。 结合药诊治,很有可能治愈牛皮癣。
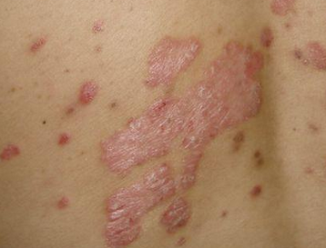
牛皮癣是一种较为慢性的皮肤病,其特点是全身红斑上反复出现多层银白色干性鳞屑,也可出现大小不一的丘疹和红斑。 那么牛皮癣会痒吗? 有些患者会感到瘙痒。 那么痒的时候我们应该怎么办呢?

1、牛皮癣痒了不能挠,也很难治没有特效药,必须对症诊治。痒的时候可以考虑吃点维生素之类的药。
2、如果牛皮癣患者发现皮肤很痒,那么在选择衣服的时候,一定要选择透气性好的棉质衣服,勤洗澡,勤换内衣,对缓解病情很有帮助。
3、牛皮癣患者在痒的时候也可以听一些舒缓的音乐来缓解压力,有助于缓解烦躁,对身体也很有好处。
温馨提示:针对活动还有什么不明白的地方,请直接点击在线预约,或者拨打热线电话:0898-65333100咨询。
免费咨询热线:0898-65333100
版权所有:福州华研银屑病专科医院