海口牛皮癣专科医院预约

必看!盘点牛皮癣对人体的四大

来源:海口肤康银屑病专科医院 发布时间:2023-04-13
  牛皮癣是近年来发病率较高的一种皮肤病。可以说,它影响了我们的生活。所以我们一定要做到早发现早诊治,否则会对我们的健康造成巨大的影响,同时也会影响到我们的身体健康。患者的身心健康受到了许多的伤害,因此我们对牛皮癣一定要提高警惕,积极预防,及时诊治。
 
  1.进行性症状
 
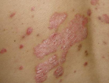
  进展期的牛皮癣症状比较轻微,如果在这个阶段及时诊治疾病,是可以起到很好的效果的。主要表现为皮损不断扩大,周围会出现炎性潮红。同时,会出现新的皮损。鳞片会覆盖皮损的地方。如果正常皮肤受损,也会出现皮损。
 
 
  2.静态症状
 
  在牛皮癣的静止期,皮损会停止发展,不再出现新的皮损,但症状不会明显减轻或消退,鳞屑会明显增厚,容易脱落。
 
  3.退化症状
 
  在牛皮癣消退期,皮损会变薄消退,同时出现暗红色或颜色变浅。部分患者的皮损会从边缘或中心逐渐消退,皮损上的鳞屑也会消失。退化的病灶中出现减少的、暂时性色素沉着过度或色素减退的斑点,一些患者的皮肤颜色恢复正常。
 
  除了在日常生活中积极养成良好的生活习惯外,做好皮肤护理也很重要。并且在诊治的过程中,不要用自己的方式去诊治疾病。重要的是接受正规医院的诊治。
 
  海口肤康医院开设有青春痘专科、白癜风专科、牛皮癣专科、湿疹专科、扁平疣专科、带状疱疹等专业科室,集预防、保健、诊治、研究、康复于一体,首诊负责制、医师互动会诊制等服务,为皮肤患者实现真正的专病专治、专人专管、一对一皮肤健康一站式服务,全方位满足不同病患的个性化需求,以技术和服务打造的皮肤医院新模式,成为患者朋友健康新选择。

  温馨提示:针对活动还有什么不明白的地方,请直接点击在线预约,或者拨打热线电话:0898-65333100咨询。

海口肤康治疗牛皮癣多少钱
海口肤康银屑病医院门诊时间
肤康银屑病医院门诊时间
门诊时间(无假日门诊)
08:00-21:00
海口肤康银屑病医院地址
医院地址
海口市美兰区海府路97号

全国皮肤病专科连锁品牌

免费咨询热线:0898-65333100
版权所有:福州华研银屑病专科医院