海口牛皮癣专科医院预约

必看!盘点牛皮癣对人体的四大

来源:海口肤康银屑病专科医院 发布时间:2023-04-01
  经常在酒吧喝啤酒的女性比喝白葡萄酒和软饮料的女性更容易患牛皮癣。科学家推测啤酒中的淀粉质谷物,如大麦,会导致皮肤病的发作,而淀粉质谷物含有麸质,这种物质会引发牛皮癣。
 
  首先,如果女性每周平均喝2.3杯或更多酒精饮料,她们患牛皮癣的可能性会增加72%,如果她们每周喝五杯或更多啤酒,患牛皮癣的可能性会增加72%。几乎翻了一番。
 
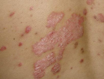
  牛皮癣是一种慢性皮肤病,通常会导致膝盖、肘关节、头皮和面部出现发痒的红色鳞状脱皮。严重时,会影响患者和他人的正常社交。
 
 
  其次,牛皮癣是一种常见且反复发作的皮肤病,其中以寻常型牛皮癣为常见。
 
  进入冬季,由于气温骤降等容易引发牛皮癣的因素增多,是感冒等疾病的易发期。季节变化,人们的情绪、心理、精神和饮食习惯的改变等因素,很容易引起牛皮癣的复发或加重。
 
  三是应特别注意现阶段冬季牛皮癣的预防和及时诊治。
 
  因此,医生建议,为了保持皮肤健康,女性或有牛皮癣家族史的女性,要避免饮用啤酒,尤其是烈性啤酒、麦芽啤酒和拉格啤酒,因为后者含有过多的淀粉质谷物。
 
  患上牛皮癣后,患者的体质会下降,会出现很多疾病,周而复始。一般烦人的病人都被折磨得走形了。没有人想要这样的痛苦,所以你自己要照顾好你的皮肤并预防它!
 
  海口肤康医院皮肤专业学科建设较全,医师团队经验丰富,临床科室较全,可开展常见皮肤病、区域高发皮肤病、皮肤疑难病、职业皮肤病等临床诊治。

  温馨提示:针对活动还有什么不明白的地方,请直接点击在线预约,或者拨打热线电话:0898-65333100咨询。

海口肤康治疗牛皮癣多少钱
海口肤康银屑病医院门诊时间
肤康银屑病医院门诊时间
门诊时间(无假日门诊)
08:00-21:00
海口肤康银屑病医院地址
医院地址
海口市美兰区海府路97号

全国皮肤病专科连锁品牌

免费咨询热线:0898-65333100
版权所有:福州华研银屑病专科医院