海口牛皮癣专科医院预约

必看!盘点牛皮癣对人体的四大

来源:海口肤康银屑病专科医院 发布时间:2023-03-23
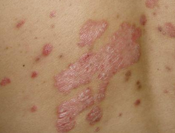
  牛皮癣也称为银屑病。本病发病率很高,但很多患者没有及时诊治。牛皮癣的发病原因有很多,但是诊治牛皮癣非常麻烦。是的,但是对于牛皮癣,我们要及时诊治,因为牛皮癣是不会传染的,但是有些牛皮癣是可以发生在小孩子身上的,而且这种病发生的时候,会让人觉得很痛苦
 
  1、小儿牛皮癣是牛皮癣的一种,是比较常见的牛皮癣类型。这种牛皮癣多发生在儿童身上,会影响患者的容貌和形象,也会影响情绪,而且这种病的发生也会给患者带来严重的心理压力。
 
  2、如果患有牛皮癣,一定要及时到正规医院就诊。不仅可以及时诊治,而且诊治也很简单。患者只需服药两周左右即可见明显结果,但不能完全治愈。
 
 
  3、在生活中,牛皮癣患儿一定要注意皮肤的保护,不要让皮肤受到外伤,否则会导致牛皮癣的发作,注意不要吃一些辛辣刺激性的食物,不要喝酒,容易传染疾病。
 
  海口肤康医院自建院来始终秉承“专业、专长、专注皮肤病”的理念,不断加强医院的皮肤病诊疗水平,注重临床诊治效果,保障市民皮肤健康,同时吸引了华南乃至港、澳、台等地区的皮肤病患者慕名求医,是我省皮肤病诊治事业排头兵。

  温馨提示:针对活动还有什么不明白的地方,请直接点击在线预约,或者拨打热线电话:0898-65333100咨询。

海口肤康治疗牛皮癣多少钱
海口肤康银屑病医院门诊时间
肤康银屑病医院门诊时间
门诊时间(无假日门诊)
08:00-21:00
海口肤康银屑病医院地址
医院地址
海口市美兰区海府路97号

全国皮肤病专科连锁品牌

免费咨询热线:0898-65333100
版权所有:福州华研银屑病专科医院